
/
SOBRE NÓS
Dra. Teresa Cuzcano
Cirurgiã Dentista – CRO RJ 44229
Olá, eu sou a Dra. Teresa Cuzcano. Formada em Odontologia pela UERJ e especialista em Ortodontia pela PUC-Rio, atendo com dedicação desde 2013.
Na nossa clínica, você encontra uma equipe experiente e acolhedora, porque seu conforto e confiança são nossa prioridade.
Aqui, o sorriso é apenas o começo. Nosso cuidado vai além da estética: entregamos saúde, bem-estar e autoestima para você sorrir sem medo.
nossos tratamentos
ATENDEMOS TODAS AS ESPECIALIDADES ODONTOLÓGICAS

Clínica Geral
Seja por dor, sensibilidade, estética ou prevenção, estamos aqui para cuidar do seu sorriso. Com diagnóstico preciso através de scanner 3D, atendemos emergências, manutenção e acompanhamento contínuo para manter sua saúde bucal em dia com conforto e clareza em cada etapa do cuidado.

Tratamento de canal
Quando a dor no dente lateja, incomoda ao mastigar ou até mesmo ao respirar, é sinal de inflamação no nervo. O tratamento de canal alivia a dor, elimina a infecção e preserva o dente, evitando extrações desnecessárias. Com técnicas modernas, o procedimento é seguro, rápido e sem trauma, devolvendo conforto e tranquilidade para o seu dia a dia.

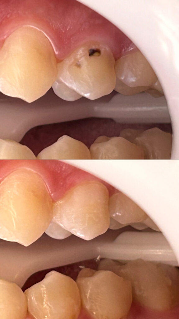
Dentística
Para quem deseja corrigir manchas, desgastes e imperfeições que afetam a autoestima. Facetas e restaurações invisíveis para um sorriso mais bonito, harmônico e natural.

Reabilitação oral
Sentir vergonha de sorrir não precisa fazer parte da sua rotina.
Com Implantes Dentários, você retoma a liberdade de sorrir, falar e comer sem medo, com suporte seguro, natural e que devolve bem-estar e confiança.



Tratamento ortodôntico
Alinhamento ideal para você. Oferecemos diversas opções de tratamento ortodôntico: Aparelho Metálico Tradicional, Aparelho Estético, Aparelho Fixo Invisível e Alinhadores Invisíveis. Realizamos escaneamento digital para planejamento de alinhadores, garantindo mais precisão, conforto e previsibilidade em cada etapa do tratamento. Escolha a solução que mais combina com a sua rotina e seu estilo.

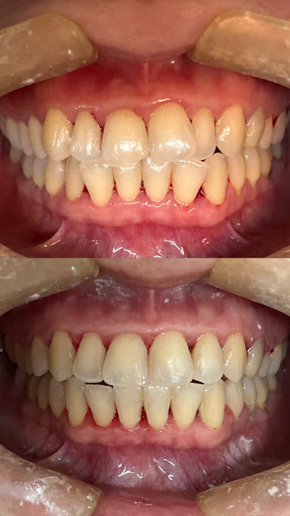
Clareamento Dental
Realce a beleza natural do seu sorriso e sinta mais confiança ao falar, sorrir e se apresentar. Traga de volta o brilho do seu sorriso com nosso clareamento dental completo, uma transformação rápida e com resultados duradouros, sem dor nem sensibilidade excessiva.

ONDE NOS ENCONTRAR
Localização
Estamos no coração da Tijuca, na Praça Saens Peña.
O consultório fica na Rua Conde de Bonfim, com acesso fácil pelo metrô (Estação Saens Peña– saída C) e por diversas linhas de ônibus.
Rua Conde de Bonfim 369, sala 911 – Tijuca
Rio de Janeiro, RJ





